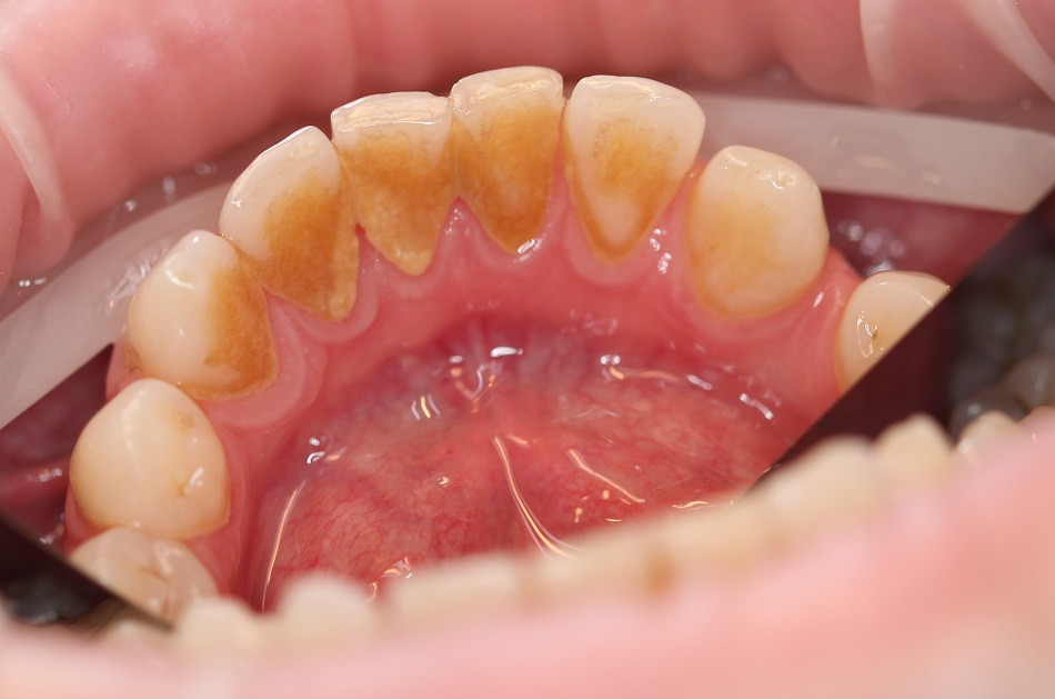
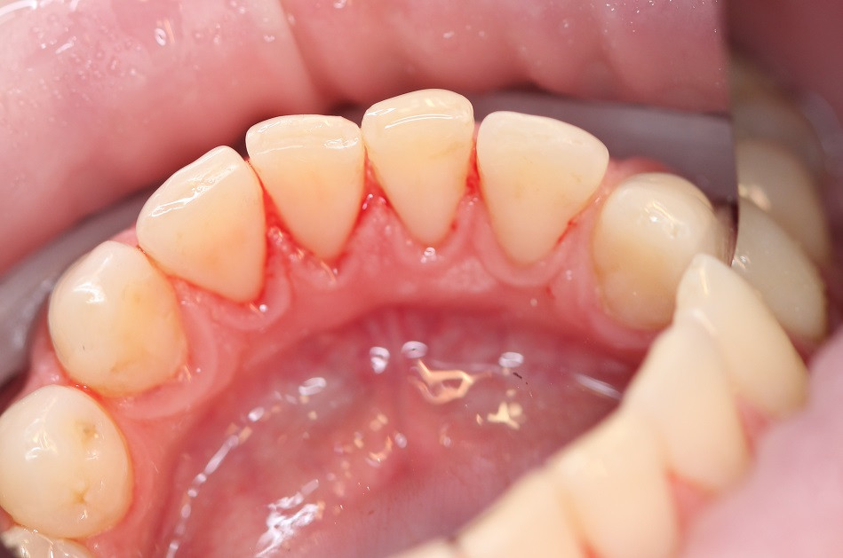
Демо работы

Описание клинического случая здесь.

Проводили лечение
Создаю идеальное здоровье!
Записаться на прием
Врач-терапевт
Стаж - 9 лет
Моисеева Анна Валерьевна 0
Моисеева Анна Валерьевна
Моисеева Анна Валерьевна 1
Моисеева Анна Валерьевна
Моисеева Анна Валерьевна 2
Моисеева Анна Валерьевна
Моисеева Анна Валерьевна 3
Моисеева Анна Валерьевна
Моисеева Анна Валерьевна 4
Моисеева Анна Валерьевна

Отзыв пациента

Маргарита Ивановна
Посещал доктора 4 раза. Прием начался и закончился в положенное время. Консультация длилась минут 20-30, на мой взгляд, уделенного времени было достаточно.😘
Ответ врача
Спасибо вам за положительный отзыв!
Записаться онлайн
Записаться на телефону
+7 (842) 242-56-06 перезвоним в течение 10 минут

Вступайте и пишите в группу

Наш сайт использует cookie. Продолжая им пользоваться вы соглашаетесь со всеми правилами проекта.